Search Videos and More

Showing 13 - 24 of 58 results

Previous| 1 | 2 | 3 ...5 |Next


2025 Quality Outcomes Report News

2025 Quality Outcomes Report

The Department of Neurological Surgery at UT Southwestern is proud to share its 2025 Quality Outcomes Report. This report highlights how substantial improvements in discharge processes, evidence-based protocols, and care coordination have led to enhanced patient experience, improved outcomes, increased discharge efficiencies, and significantly reduced mortality rates.
Endoscopic Spine Surgery: The Lowest-Risk Option for Prolonged Back Pain Relief News

Endoscopic Spine Surgery: The Lowest-Risk Option for Prolonged Back Pain Relief

For patients with back or leg pain, the source can usually be traced to nerve pressure, such as a herniated disc in younger patients or arthritic bone spurs in older populations. Traditionally, this would leave them to choose between undergoing extensive surgery to correct the issue or continuing treatments to mitigate the pain indefinitely. At UT Southwestern, patients now have a much less invasive option in endoscopic spine surgery, an outpatient procedure to fix the underlying issue and relieve pain.
UT Southwestern researchers receive multi-million dollar grant to aid cerebellar disorders research News

UT Southwestern researchers receive multi-million dollar grant to aid cerebellar disorders research

UTSW team receives funding from Raynor Cerebellum Project to develop treatments for congenital brain disease
Faster clot-busting drug works as well as traditional drug for stroke News

Faster clot-busting drug works as well as traditional drug for stroke

Newly approved tenecteplase, administered in a single rapid dose, may have advantages over alteplase for treating acute ischemic strokes, UTSW-led study shows
Gene therapy offers hope for giant axonal neuropathy patients News

Gene therapy offers hope for giant axonal neuropathy patients

Treatment developed by UTSW researchers shows promise in phase 1 trial, provides road map for treating other inherited neurological diseases
Neurostimulation shows promise as potential Alzheimer’s treatment News

Neurostimulation shows promise as potential Alzheimer’s treatment

Transcranial direct current stimulation temporarily improved some patients’ cognitive skills in preliminary trial at UTSW
Laser surgery offers hope for those living with epilepsy and brain cancer News

Laser surgery offers hope for those living with epilepsy and brain cancer

For patients with intractable epilepsy or complex brain tumors, surgery can reduce symptoms and improve quality of life. However, traditional open craniotomy, in which part of the skull is removed, is not always a safe option for patients with deep-seated tumors or those with advanced disease. It also may carry an increased risk of side effects. But a minimally invasive option, laser interstitial thermal therapy (LITT), provides patients an alternative.
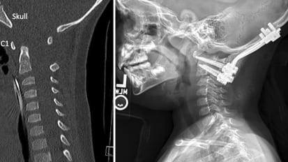
Lifesaving spinal fusion repairs toddler’s atlanto-occipital dislocation (AOD) News

Lifesaving spinal fusion repairs toddler’s atlanto-occipital dislocation (AOD)

Her two children were transported to Children’s Medical Center Dallas, a Level 1 trauma center where UT Southwestern pediatric neurosurgeon Bruno Braga, M.D., would not only save her son’s life but also give him a chance to once again become king of the playground.
Program enhances stroke care at nearly 3,000 U.S. hospitals News

Program enhances stroke care at nearly 3,000 U.S. hospitals

Study led by UT Southwestern shows AHA’s Get With The Guidelines-Stroke initiative improves outcomes for millions
Challenging surgery removes dangerous, rare tumor from man’s spine News

Challenging surgery removes dangerous, rare tumor from man’s spine

Charles Lavender’s surgery in April 2023 to remove a cervical intradural traumatic neuroma from his neck lasted 11 hours. The tumor, pressing dangerously on his spinal cord, was exceedingly rare, based on its location, pathology, and the patient’s history.
A young neurologist diagnosed with ALS is inspiring a call to action News

A young neurologist diagnosed with ALS is inspiring a call to action

Ever since he was a boy, Michael Ibarra was fascinated by the human brain – its complexities, its secrets. Now, at age 32, he is an Assistant Professor of Neurology at UT Southwestern, and he has come face to face with one of the most complex and deadly medical mysteries in his field, ALS, or amyotrophic lateral sclerosis.
From Flashlights to Pupillometry: The New Standard in Brain Health Assessment News

From Flashlights to Pupillometry: The New Standard in Brain Health Assessment

Diagnosing critical conditions like major strokes or serious concussions with precision and ease – using modern highly reliable noninvasive methods – is the norm at UT Southwestern. Any doctor would embrace a painless, accurate, and timely approach, especially in emergency situations. However, despite the proven efficacy of pupillometry, many medical professionals still rely on an unreliable method of using flashlights to assess pupils, a practice that has persisted for decades.

Showing 13 - 24 of 58 results

Previous| 1 | 2 | 3 ...5 |Next